발목 염좌는 단순한 ‘삐끗’이 아닌 인대 손상으로, 초기 치료와 재활을 소홀히 하면 만성 통증이나 관절염으로 이어질 수 있습니다. 발목 염좌에 대한 놓치면 안되는 핵심 가이드는 아래 버튼을 통해 확인하세요!
발목 염좌의 원인, 증상, 진단 방법부터 단계별 치료와 재활, 재발 방지를 위한 생활 관리와 예방법까지 종합적으로 정리했습니다. 정확한 치료 원칙과 생활 습관 개선을 통해 발목 건강을 지키는 방법을 알려드리겠습니다.
목차
- 발목 염좌란 무엇인가?
- 세부적인 분류와 특징
- 발목 염좌의 주요 원인
- 발목 염좌의 증상과 구분
- 발목 염좌와 골절 구분
- 발목 염좌의 진단 방법
- 발목 염좌 치료와 관리
- 발목 염좌 재활 프로그램
- 생활 속 관리법
- 발목 염좌 합병증과 예방
- 잘못된 발목 염좌 관리 사례
- 발목 염좌 총정리
1. 발목 염좌란 무엇인가?
발목 염좌는 발목을 안정적으로 지탱하는 인대가 비정상적으로 늘어나거나 찢어진 상태를 의미합니다. 대부분 발이 안쪽으로 과도하게 꺾이면서 외측 인대 손상이 발생합니다. 발목 염좌는 손상 정도에 따라 1단계(경미), 2단계(중등도), 3단계(중증)로 나뉘며, 단순히 ‘삐끗했다’는 표현보다 더 심각한 손상일 수 있습니다.
- 경미한 발목 염좌: 인대가 늘어나거나 미세 손상
- 중등도 발목 염좌: 인대의 부분 파열
- 중증 발목 염좌: 인대의 완전 파열






2. 세부적인 분류와 특징
발목 염좌는 일반적으로 인대 손상 정도에 따라 1~3단계로 나뉘지만, 실제 임상에서는 조금 더 세부적으로 분류하기도 합니다. 특히 스포츠 의학 분야에서는 손상된 인대의 위치와 범위를 기준으로 세분화하여 치료 전략을 세웁니다.
- 전거비인대 손상: 가장 흔히 발생하는 형태로, 발목이 안쪽으로 꺾일 때 주로 손상됩니다.
- 종비인대 손상: 상대적으로 드물지만, 손상 시 발목 불안정성이 심해집니다.
- 삼각인대 손상: 발목이 바깥쪽으로 꺾일 때 발생하며, 회복에 시간이 오래 걸립니다.
- 고위 발목 염좌: 경비인대 손상으로, 발목 위쪽에서 발생하는데 보통 회복 기간이 2배 이상 길어집니다.
즉, 발목 염좌라고 해서 모두 동일한 치료법을 적용하는 것이 아니라, 손상된 부위와 정도에 따라 맞춤형 접근이 필요합니다.
3. 발목 염좌의 주요 원인
- 스포츠 활동
발목 염좌는 축구, 농구, 배드민턴처럼 방향 전환이 많은 스포츠 활동에서 흔하게 발생합니다.
- 불안정한 지면
돌길이나 계단, 울퉁불퉁한 바닥을 걸을 때 발목이 꺾이며 발목 염좌로 이어질 수 있습니다.
- 잘못된 신발
굽이 높은 구두나 지지력이 약한 신발은 발목 염좌를 유발하는 주요 요인입니다.
- 근력 부족과 이전 손상
발목 주변 근육과 인대가 약해지거나 과거 발목 염좌 경험이 있으면 재발 확률이 크게 증가합니다.
4. 발목 염좌의 증상과 구분
발목 염좌는 손상 정도에 따라 증상이 다르게 나타납니다.
- 1단계: 가벼운 통증, 약간의 붓기, 보행 가능
- 2단계: 붓기, 멍, 걸을 때 심한 통증
- 3단계: 심한 붓기, 관절 불안정, 보행 불가능
특히 발목 염좌를 방치하면 인대 회복이 불완전해 만성 불안정성으로 이어질 수 있으므로 조기 치료가 필수입니다.






5. 발목 염좌와 골절 구분
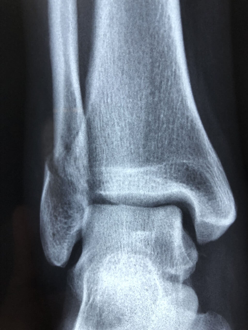
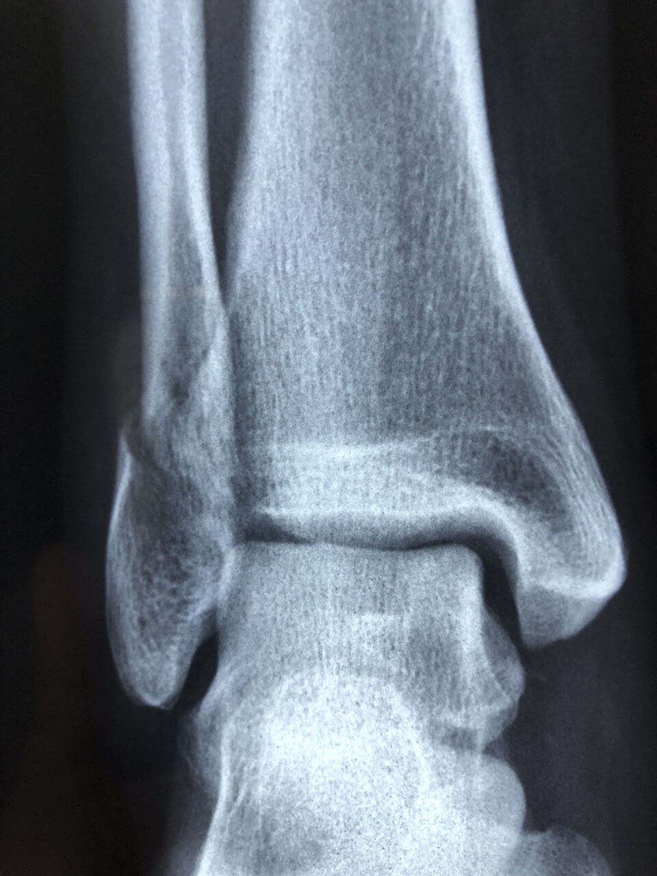
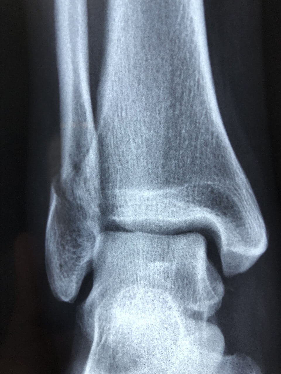
많은 사람들이 발목 염좌와 골절을 혼동합니다. 염좌는 일정 시간이 지나면 보행이 어느 정도 가능하지만, 골절은 체중 부하 자체가 불가능하고 뼈의 모양이 변형될 수 있습니다. 정확한 구분을 위해서는 X-ray나 MRI 검사가 필요합니다.
6. 발목 염좌의 진단 방법
- 이학적 검사
의사는 손상된 부위를 눌러 압통을 확인하거나, 스트레스 검사를 통해 발목의 불안정성을 평가합니다. 전거비인대 손상의 경우 전방전위검사(Anterior Drawer Test)에서 발목이 앞으로 밀리는 현상이 관찰됩니다.
- 영상학적 검사
- X-ray: 골절 여부를 확인하는 기본 검사.
- MRI: 인대 파열 정도, 연골 손상 여부를 정밀하게 확인.
- 초음파: 실시간으로 인대 상태를 관찰할 수 있으며, 재활 단계 평가에도 유용합니다.
- 진단 시 유의사항
발목 염좌는 골절이나 연골 손상과 함께 동반되는 경우가 있어, 단순한 ‘삐끗함’으로 단정하지 말고 정확한 검사가 필요합니다.
7. 발목 염좌 치료와 관리
- 응급 처치 – RICE 원칙
- Rest(안정): 활동을 중지하고 휴식
- Ice(냉찜질): 20분씩 반복 냉찜질
- Compression(압박): 압박 붕대로 고정
- Elevation(거상): 심장보다 높이 올려 붓기 감소
- 병원 치료
발목 염좌가 심한 경우 소염진통제, 물리치료, 보호대 착용이 필요합니다. 3단계 중증 발목 염좌는 수술을 고려해야 합니다.
- 시기별 재활과 회복
- 급성기(0~1주): 통증 완화, 안정 유지
- 아급성기(2~4주): 스트레칭, 걷기 연습
- 회복기(4~6주): 근력 운동, 균형 훈련
- 완전 회복기(6주 이후): 스포츠 복귀, 발목 강화 운동






8. 발목 염좌 재활 프로그램
발목 염좌는 치료 초기의 안정만큼이나 재활 과정이 중요합니다. 적절한 재활을 하지 않으면 만성 불안정성과 조기 관절염으로 진행할 수 있습니다.
- 균형 감각 훈련
발목 염좌 환자는 평형감각이 저하되기 쉽습니다. 불안정한 보드 위에서 균형 잡기, 한 발로 서기 같은 훈련은 재손상을 예방합니다.
- 근육 강화 훈련
종아리 근육(비복근, 가자미근)과 발목 주변 근육을 강화하면 관절 안정성이 크게 향상됩니다. 저항 밴드 운동이나 발끝 들기 운동이 대표적입니다.
- 기능적 재활
스포츠 선수라면 방향 전환, 점프 착지 훈련 등 고강도 기능 회복 훈련이 필요합니다. 일반 직장인이나 학생이라면 걷기, 계단 오르내리기 훈련부터 시작하는 것이 안전합니다.
9. 생활 속 관리법
- 일상생활 속 주의
재활 중에도 무리한 활동은 피해야 하며, 가능한 한 지면이 평평한 곳에서 걷도록 합니다. 또, 계단보다는 엘리베이터를 이용하고, 운동화는 발목을 잘 잡아주는 제품을 선택하는 것이 좋습니다.
- 식이 요법
인대 회복에는 단백질과 비타민 C가 중요합니다. 단백질은 조직 재생을 돕고, 비타민 C는 콜라겐 합성에 필수적입니다. 또한 오메가-3 지방산은 염증 완화에 효과적이므로 생선, 견과류 등을 섭취하면 도움이 됩니다.
- 체중 관리
체중이 늘어나면 발목에 가해지는 압력이 증가해 회복이 더디고 재손상 위험이 커집니다. 적정 체중을 유지하는 것은 발목 건강 유지의 핵심입니다.
10. 발목 염좌 합병증과 예방
- 합병증
발목 염좌를 방치하면 만성 발목 불안정증, 조기 관절염, 운동 능력 저하로 이어질 수 있습니다.
- 예방
- 꾸준한 근육 강화와 스트레칭
- 스포츠 전 준비운동 필수
- 발목 테이핑 및 보호대 활용
- 체중 관리로 관절 부담 감소
발목 염좌는 흔하지만 결코 가볍게 여겨서는 안 됩니다. 정확한 치료와 체계적인 재활, 꾸준한 예방 관리가 필수입니다.






11. 잘못된 발목 염좌 관리 사례
많은 환자들이 민간요법이나 자가 치료를 시도하다가 오히려 상태를 악화시키기도 합니다.
- 뜨거운 찜질: 손상 직후에는 혈류를 증가시켜 부종 악화
- 강한 마사지: 손상 부위 조직을 더 손상시킬 위험
- 조기 활동: 충분히 회복되지 않은 인대에 무리한 부하
따라서 발목 염좌는 반드시 의료 전문가의 지도를 받아야 하며, 개인의 상태에 맞춘 관리가 필요합니다.
12. 발목 염좌 총정리
발목 염좌는 단순히 ‘삐끗했다’라고 가볍게 넘길 문제가 아닙니다. 인대 손상이 수반되는 의학적 부상으로, 초기 치료와 재활이 제대로 이루어지지 않으면 만성 불안정성과 조기 관절염으로 이어질 수 있습니다. 따라서 발목 염좌가 발생하면 즉시 RICE 응급 처치를 하고, 병원을 방문해 정확한 진단을 받아야 합니다. 이후 단계별 재활과 꾸준한 생활 관리, 체중 조절, 근력 강화 운동을 병행한다면 발목은 충분히 원래의 안정성을 되찾을 수 있습니다.
무엇보다 중요한 것은 예방입니다. 올바른 스트레칭 습관과 근육 강화, 바른 신발 선택만으로도 발목 염좌 발생률을 크게 줄일 수 있습니다. 발목은 우리의 일상생활과 스포츠 활동에 있어 필수적인 관절이므로, 꾸준한 관리와 관심이 필요합니다.
| 구분 | 내용 |
|---|---|
| 정의 | 발목 관절 인대가 늘어나거나 찢어진 손상 |
| 주요 원인 | 스포츠 활동, 불안정한 지면, 잘못된 신발, 근력 부족, 이전 손상 |
| 증상 단계 | 1단계: 경미한 통증 / 2단계: 붓기+멍 / 3단계: 보행 불가 |
| 진단 방법 | X-ray, MRI, 초음파, 이학적 검사 |
| 치료 방법 | RICE 응급 처치, 약물·물리치료, 보호대, 필요 시 수술 |
| 재활 과정 | 급성기 → 아급성기 → 회복기 → 완전 회복기 |
| 합병증 | 만성 불안정성, 관절염, 운동 능력 저하 |
| 예방법 | 스트레칭, 근육 강화, 체중 관리, 발목 보호대 |
| 주의 사항 | 민간요법(뜨거운 찜질, 강한 마사지) 피하기, 조기 활동 자제 |



'건강' 카테고리의 다른 글
| 고관절 통증 원인, 충돌증후군·근육 손상부터 관절염까지 (0) | 2025.10.30 |
|---|---|
| 테니스엘보 vs 골프엘보, 차이점과 통증 부위 완벽 가이드 (0) | 2025.10.29 |
| 어깨 통증 원인 총정리 : 회전근개 파열·오십견·충돌증후군 차이와 치료법 (0) | 2025.10.24 |
| 무릎 통증의 원인, 연골 손상부터 인대 파열까지 총정리 (0) | 2025.10.23 |
| 요추 염좌와 디스크 초기 구분법, 허리 통증 원인 바로 잡는 법 (0) | 2025.10.22 |
